- トップ
- 「#医師国家試験」のコンテンツ一覧
「#医師国家試験」のコンテンツ一覧
            国試対策ノート
        
        COVID-19
        2024-02-15
     
    
            国試過去問解説
        
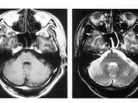
        国試過去問解説 亜急性連合性脊髄変性症(112A19)
        2024-02-13
     
    
            国試過去問解説
        
        国試過去問解説 蕁麻疹(112C25)
        2024-01-25
     
    
            国試過去問解説
        
        国試過去問解説 慢性膵炎(112A73)
        2024-01-12
     
    
            国試過去問解説
        
        国試過去問解説 うつ病(114E13)
        2023-12-18
     
    
            国試対策ノート
        
        画像診断 肝臓の症例
        2023-11-06
     
    
            国試対策ノート
        
        消化器関連の問題
        2023-11-06
     
    
            医学生のためのコラム
        
        【現役予備校講師が教える!】5年生が秋にすべきこと -国試対策-
        2023-10-02
     
    
            国試対策ノート
        
        ~公衆衛生学の中の統計~
        2023-09-26
     
    
            国試対策ノート
        
        感染症学Learning
        2023-09-26
     
    
            国試対策ノート
        
        本態性高血圧 ~降圧薬の使い分け~
        2023-08-28
     
    
            国試対策ノート
        
        腎臓と尿 ~利尿薬について~
        2023-08-28
     
    
            国試対策ノート
        
        白血病の診断療法について
        2023-07-19
     
    
            国試対策ノート
        
        ~代謝編~ 糖尿病合併症
        2023-07-19
     
    
            国試対策ノート
        
        ~神経編~ 脳梗塞
        2023-07-19
     
    
            医学生のためのコラム
        
        【現役予備校講師が教える!】4年生が夏にすべきこと -CBTの攻略法-
        2023-07-05
     
    
            医学生のためのコラム
        
        【現役予備校講師が教える!】5年生が夏にすべきこと -マッチング-
        2023-07-05
     
    
            医学生のためのコラム
        
        【現役予備校講師が教える!】6年生が夏にすべきこと
        2023-07-05
     
    
            国試対策ノート
        
        画像診断
        2021-03-15
     
    
            国試対策ノート
        
        ~症候論~ 胸痛
        2021-03-15
     
    
            国試対策ノート
        
        USMLE part1
        2021-03-15
     
    
            国試対策ノート
        
        USMLE part2
        2021-03-15
    