113A53
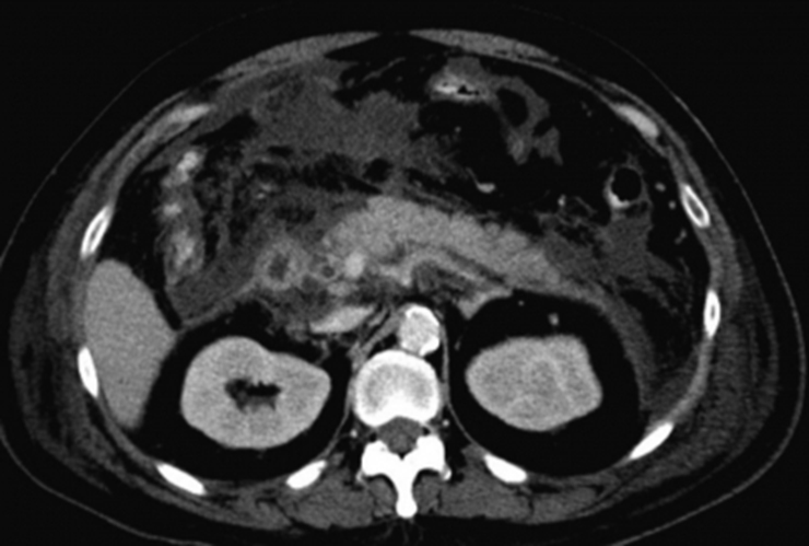
66歳の男性。総胆管結石の加療目的で入院となり,内視鏡的結石除去術を施行した。終了2時間後から持続性の心窩部痛と背部痛を訴えた。体温37.5℃。脈拍108/分,整。血圧94/66mmHg。呼吸数24/分。SpO2 94%(room air)。腹部は平坦で,心窩部を中心に広範囲に圧痛を認める。血液所見:赤血球502万,Hb 15.3g/dL,Ht 45%,白血球12,700,血小板26万,PT-INR 1.1(基準0.9~1.1)。血液生化学所見:総ビリルビン4.4mg/dL,AST 370U/L,ALT 177U/L,LD 491U/L(基準176~353),γ-GTP 337U/L(基準8~50),アミラーゼ 1,288U/L(基準37~160),尿素窒素23mg/dL,クレアチニン1.2mg/dL。CRP 9.3mg/dL。腹部造影CTを別に示す。
次に行うべき治療として適切でないのはどれか。

次に行うべき治療として適切でないのはどれか。
